CAT
猫の虫歯


飼い主の方から
猫ちゃんの歯に虫歯ができたかもと
ご相談を受けることがあります。
幸い猫は唾液の性質や食性上、
いわゆる虫歯である齲蝕は
ほとんど発生しません。
確認してみると大概は
黒ずんだ歯石が付着しています。
.jpg)
虫歯はなくとも歯石の付着とともに
歯周病の進行を疑う所見が
発見されることもあります。
また、虫歯は少ないですが
破歯細胞性吸収病巣や
歯頚部吸収病巣と呼ばれる
歯が溶ける病気自体は
比較的よく遭遇します。
.jpg)
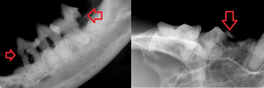
↑上の症例の歯の収集病巣

↑ほかの症例の歯の吸収病巣
虫歯は少ないですが
歯の見た目の変化は
口の様々なトラブルの可能性が
考えられます。
定期的にお口の中を確認し、
おかしいなと思ったら動物病院へ
ご相談ください。
お口の中をお家で見せてくれない子は
定期的な受診や検診時に
しっかりお口を診てもらいましょう。